“Votre sourire, notre signature.”
“Votre sourire, notre signature.”
Situé au cœur de Kénitra, Kenismile réinvente votre expérience dentaire : un plateau technique moderne, une équipe à l’écoute et des soins sans douleur.


Dr. Mohamed Lakziz
Docteur en Médecine Dentaire, je suis également titulaire d’une Licence Professionnelle en Prothèse Dentaire de la Faculté de Médecine Dentaire de Rabat. Cette double casquette me permet d’allier expertise clinique et précision technique pour garantir une esthétique et une fonctionnalité optimales à mes patients.
Nos Services
Traitement
Soins conservateurs et restaurations pour préserver la vitalité de vos dents.
Chirurgie buccale
Extractions et interventions chirurgicales des tissus oraux.
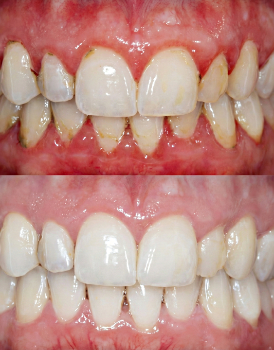
Dentisterie esthétique
Transformation du sourire par facettes et techniques de pointe.
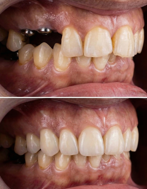
Implants dentaires
Restauration fixe et durable des dents manquantes par ancrage osseux.
Les bagues
Alignement dentaire de précision par appareillage orthodontique fixe.
Les aligneurs
Correction invisible et amovible des malpositions dentaires.
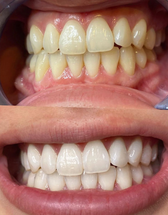
Blanchiment
Éclaircissement clinique sécurisé pour un éclat naturel et homogène.
Parodontologie
Traitement des gencives et assainissement du support parodontal.
Les Aligneurs à Kénitra
Révélez votre sourire sans compromis. Cabinet dentaire Kenismile vous propose désormais l’orthodontie invisible : une série de gouttières sur-mesure pour aligner vos dents sans l’inconfort des bagues classiques. Profitez d’un accompagnement personnalisé ici à Kénitra pour le sourire dont vous rêvez.









